現役でお仕事をされている方

仕事が忙しくて歯医者に通う時間がない…そんなあなたでも大丈夫。当院では短期集中の治療スケジュールを組めるので、休みが取りにくい方でも安心。見た目も自然なので、商談や接待で口もとが全く気にならなくなります。










仕事が忙しくて歯医者に通う時間がない…そんなあなたでも大丈夫。当院では短期集中の治療スケジュールを組めるので、休みが取りにくい方でも安心。見た目も自然なので、商談や接待で口もとが全く気にならなくなります。

一生に一度の晴れ舞台。写真も食事も、最高の笑顔で楽しみませんか?「入れ歯が気になって笑えない」「食事がうまくできない」「久しぶりに会う親戚、お子様やお孫様の友人に口もとを見られるのが恥ずかしい」その悩み、必ず解決できます。

第一印象は“歯”で決まります。自然で美しい口もとが、自信に変わります。会話のたびに気になる口もとを気にせず、自信を持って笑えるように。素敵なパートナーとの出会い・交際・幸せな毎日へのきっかけに。

「ズレる・外れる・噛めない」そのストレス、もう手放しませんか?インプラントなら、まるで自分の歯のような安定感。痛みも少なく、硬いものでもしっかり噛める充実した食生活を手に入れられます。

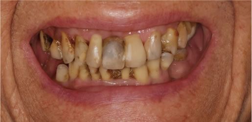
「今さら無理かも…」そんな風に諦めていませんか?当院には同じ悩みを抱えた多くの方が来院し、笑顔を取り戻しています。何年も放置してしまっている方にこそご相談に来ていただきたいです。

他院で「骨が足りないから無理です」と言われた方でも諦めないでください。最新の治療技術と高性能CTで難症例にも対応可能。実際に多くの方がここで“人生を変える治療”に成功しています。

2009年の開院以来、長年インプラント治療に携わってきました。「紹介で来ました」「あの先生なら安心」という声を多数いただいており、技術だけでなく信頼関係にも自信があります。親子三世代で通ってくださる患者様も大勢いらっしゃいます。
歯科麻酔に加え静脈内鎮静法を導入。ほとんど眠っているような状態で治療が受けられます。多くの患者様が「気づいたら終わっていた」とおっしゃるほど快適です。
骨の少ない方・高齢者・持病のある方など、他院では難しいとされるケースも多く対応しています。精密な診断と高い技術力で、“一人ひとりに最適な治療”を提供します。
治療後も長く安心していただけるよう、噛み合わせの違和感や不具合の調整はすべて無償で対応いたします。さらに、最長30年間のインプラント保証制度を設けており、万が一のトラブルにも責任を持って対応いたします。
当院では歯科用CTスキャンを用いて骨の厚みや神経の位置を立体的に把握し、口腔内3Dスキャナーによって、従来の型取りよりも正確かつ快適な方法で情報を取得します。 これにより、ミリ単位の精度で埋入位置を決定し、治療の安全性と成功率を飛躍的に高めることが可能です。
当院では、長年の実績を持つ世界的リーディングブランドを標準採用しています。 骨になじみやすく、治療直後から噛めるケースにも対応できるのが特長です。見た目が自然で強度や耐久性にも優れているため、「長く安心して使えるインプラント治療」を実現します。また、難しい症例にも対応できる安心のメーカーです。




※金額はすべて税別です。
※インプラントのリスク・注意点について
インプラントが長く使えるかどうかは、お口の環境(歯ぐきや骨の状態、噛み合わせ、毎日の歯みがきの仕方、定期的な検診やクリーニング、喫煙の有無など)によって変わってきます。
また、歯みがきが十分でないと、インプラントのまわりに炎症が起きて歯ぐきが腫れたり、骨が減ってしまうことがあります。










前歯の差し歯が外れてしまい、歯を失う不安でインプラントを検討していました。無料カウンセリングでは術式や費用について丁寧に説明いただき、安心して通院できました。
治療後は噛み心地が自然で毎日の食事が楽しくなりました。インプラント自体に痛みはほとんどなく、他の治療法と比べても思い切って選んで良かったと思います。
以前は別の医院で治療を受けていましたが、どこか不安がありました。
無料カウンセリングを受けてみて、丁寧な説明と施設の良さに感心し治療を決意。
持病(糖尿病)があるため、インプラントを骨に埋め込むことに不安もありましたが、検査の結果問題なく治療できるとのことで安心しました。
食の入口である歯は生涯を全うするうえで基本となることだと思いますので、治療を受けて満足しています。
部分入れ歯が割れたのをきっかけに、インプラントを検討し始めました。
無料カウンセリングで、口の中全体のことを考えた治療の提案をしていただき、この先生なら信頼できると思い治療を決断しました。
スタッフの方の対応も丁寧で良かったです。自分の歯のように何でも食べられて、手入れも楽で、インプラントにして心から満足しています。
迷っている人がいたらぜひ勧めたいです。
何でも自分の歯のように噛んで食べたいという思いがあり、インプラントに興味がありました。
治療費はどれくらいかかるんだろうという不安もありましたが、無料カウンセリングでわかりやすく説明を受け、先生とスタッフを信頼できると思ったので、今後の生活のことも考え治療を受けることにしました。
治療後は違和感なく、自分の歯のように食事を楽しめるようになり、大変満足しています。
歯が痛くて噛むことができず、安心して治療をまかせられる歯医者を探していました。
ネットの口コミを見て無料カウンセリングを受けてみたところ、最新の機器が揃っている事や、先生やスタッフの方
の対応がとても良かったので安心して治療をおまかせできました。
治療後は好きなものを何でも食べられて、人前でも大きく口を開けて笑える喜びを感じています。
麻酔下で行うため、手術中の痛みはほとんど感じません。術後は鎮痛薬でコントロールします。
一般的には数か月〜半年ほど。骨の状態や同時に行う処置により前後します。
全身状態が安定していれば年齢制限はありません。内科主治医と連携して判断します。
原則として自費診療です。外傷など一部例外があり、事前にご案内します。
骨造成(サイナスリフト等)で対応できる場合があります。CT診断後に可否をお伝えします。
1本で約30〜60分が目安です。複数本や付帯処置があると延びます。




